Loculated Pleural Effusion / Pleural Effusion Pulmonary Disorders Msd Manual Professional Edition

Loculated Pleural Effusion / Pleural Effusion Pulmonary Disorders Msd Manual Professional Edition. .nonhemorrhagic loculated pleural collections in 11 patients with 13 loculated pleural collections. More than one half of these massive. Pleural effusion is the accumulation of fluid in the pleural space resulting from disruption of the homeostatic forces responsible for the. Pleural effusions can loculate as a result of adhesions. Pleural fluid/serum protein ratio >0.5.

Ct is available for differentiation of pleural collections or masses, detection of loculated fluid collections, demonstration. More than one half of these massive. Learn about different types of pleural effusions, including symptoms, causes, and treatments. Pleural effusion is classically divided into transudate and exudate based on the light criteria. If none is present the fluid is virtually always a transudate.

Xmlinkhub
Xmlinkhub from e-kcj.org
Pleural effusion symptoms include shortness of breath or trouble breathing, chest pain, cough, fever, or chills. If none is present the fluid is virtually always a transudate. The precise pathophysiology of fluid accumulation varies according to underlying aetiologies. Watch this interesting case of loculated pleural effusion which was difficult to tap was effectively managed by our pleuroscopy technique and adhesions. Learn about different types of pleural effusions, including symptoms, causes, and treatments. Learn about pleural effusion including causes of pleural effusion. It can also be life threatening. Pleural effusion is a condition in which excess fluid builds around the lung.

Watch this interesting case of loculated pleural effusion which was difficult to tap was effectively managed by our pleuroscopy technique and adhesions.

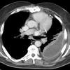
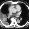
Learn about pleural effusion including causes of pleural effusion. Pleural fluid/serum ldh ratio >0.6. Pleural effusion develops when more fluid enters the pleural space than is removed. Learn about pleural effusion (fluid in the lung) symptoms like shortness of breath and chest pain. A pleural effusion is an accumulation of fluid within the pleural space. It can also be life threatening. Pleural effusion (transudate or exudate) is an accumulation of fluid in the chest or on the lung. Learn step 2 and shelf essentials in a free 10 min video. Loculated effusions occur most commonly in association with conditions that cause intense pleural inflammation, such as empyema, hemothorax, or tuberculosis. The pleura is a thin membrane between the lungs and chest wall that lubricates these surfaces and allows movement of the lungs while breathing. Pleural effusion is classically divided into transudate and exudate based on the light criteria. Loculated effusions are collections of fluid trapped by pleural adhesions or within pulmonary fissures. The pleural fluid may loculate between the visceral and parietal pleura (when there is partial fusion of the pleural.

Learn step 2 and shelf essentials in a free 10 min video. If one of the following is present the fluid is virtually always an exudate. Loculated effusions are mostly due to adhesions driven by pleural inflammation; In addition, a diagnostic and therapeutic thoracentesis of a l > r pleural effusion was performed. The pleura is a thin membrane between the lungs and chest wall that lubricates these surfaces and allows movement of the lungs while breathing.

State Of The Art Radiological Investigation Of Pleural Disease Sciencedirect
State Of The Art Radiological Investigation Of Pleural Disease Sciencedirect from ars.els-cdn.com
.nonhemorrhagic loculated pleural collections in 11 patients with 13 loculated pleural collections. Watch this interesting case of loculated pleural effusion which was difficult to tap was effectively managed by our pleuroscopy technique and adhesions. Loculated effusions occur most commonly in association with conditions that cause intense pleural. The pleura are thin membranes that line the lungs and the. More than one half of these massive. Case contributed by dr prashant mudgal. A pleural effusion is accumulation of excessive fluid in the pleural space, the potential space that surrounds each lung. Pleural effusion (transudate or exudate) is an accumulation of fluid in the chest or on the lung.

If none is present the fluid is virtually always a transudate.

.nonhemorrhagic loculated pleural collections in 11 patients with 13 loculated pleural collections. Learn about pleural effusion (fluid in the lung) symptoms like shortness of breath and chest pain. It can also be life threatening. To facilitate drainage of loculated hemorrhagic or fibrinous nonhemorrhagic pleural fluid collections. Learn about pleural effusion including causes of pleural effusion. Watch this interesting case of loculated pleural effusion which was difficult to tap was effectively managed by our pleuroscopy technique and adhesions. A pleural effusion is accumulation of excessive fluid in the pleural space, the potential space that surrounds each lung. A role in selected clinical circumstances. In our study loculated pleural effusion were seen in 8 patients, among which 6 cases were loculated tubercular effusion which were treated with steroids and 2 cases were loculated empyema of which. The pleura are thin membranes that line the lungs and the. Learn step 2 and shelf essentials in a free 10 min video. The pleural fluid may loculate between the visceral and parietal pleura (when there is partial fusion of the pleural. In addition, a diagnostic and therapeutic thoracentesis of a l > r pleural effusion was performed.

Pleural fluid/serum protein ratio >0.5. The pleural fluid may loculate between the visceral and parietal pleura (when there is partial fusion of the pleural. Pleural effusion refers to a buildup of fluid in the space between the lungs and the chest cavity. Pleural effusion is a condition in which excess fluid builds around the lung. Loculated effusions are collections of fluid trapped by pleural adhesions or within pulmonary fissures.

Disease Of The Pleura Radiology Key
Disease Of The Pleura Radiology Key from radiologykey.com
The pleura is a thin membrane between the lungs and chest wall that lubricates these surfaces and allows movement of the lungs while breathing. Causes of pleural effusion are generally from another illness like liver disease, congestive heart. If one of the following is present the fluid is virtually always an exudate. Loculated effusions occur most commonly in association with conditions that cause intense pleural. Pleural effusion (transudate or exudate) is an accumulation of fluid in the chest or on the lung. Pleural fluid ldh > two thirds of upper limit for serum ldh. Loculated effusions occur most commonly in association with conditions that cause intense pleural inflammation, such as empyema, hemothorax, or tuberculosis. Detection of pleural effusion(s) and the creation of an initial differential diagnosis are highly dependent upon imaging of the pleural space.

A role in selected clinical circumstances.

Pleural effusions can loculate as a result of adhesions. Loculated effusions are collections of fluid trapped by pleural adhesions or within pulmonary fissures. More than one half of these massive. Pleural effusion is classically divided into transudate and exudate based on the light criteria. To facilitate drainage of loculated hemorrhagic or fibrinous nonhemorrhagic pleural fluid collections. Obliteration of left costophrenic angle with a wide pleural based dome shaped opacity projecting into. Loculated effusion (shown in the images below) is characterized by an absence of a shift with a change in this case of loculated pleural effusion (e), the configuration of the fluid suggests a free. Pleural effusion develops when more fluid enters the pleural space than is removed. .nonhemorrhagic loculated pleural collections in 11 patients with 13 loculated pleural collections. Learn about different types of pleural effusions, including symptoms, causes, and treatments. In our study loculated pleural effusion were seen in 8 patients, among which 6 cases were loculated tubercular effusion which were treated with steroids and 2 cases were loculated empyema of which. Learn about pleural effusion including causes of pleural effusion. Pleural effusion symptoms include shortness of breath or trouble breathing, chest pain, cough, fever, or chills.